Grupo de Estudios Botánicos GEOBOTA
Universidad de Antioquia
Biología de las Plantas (2025-1)
Aparte del uso de diversos tejidos vegetales como alimento, ningún tejido vegetal ha desempeñado un papel más indispensable en la supervivencia humana a lo largo de la historia que la madera, o xilema secundario. Entre otras cosas, la madera se ha utilizado para construir refugios, encender fuego para calentarse y cocinar, fabricar armas, muebles, herramientas y juguetes, fabricar pasta de papel y como medio de transporte en forma de balsas, barcos y ruedas. Evert & Eichhorn (2013).

El término «vástago» se utiliza no solo como un término colectivo para estos dos órganos vegetativos (tallo y hojas), sino también para expresar su íntima asociación física y de desarrollo. Evert & Eichhorn (2013).
Tallo: estructura generalmente cilíndrica que lleva las hojas, con funciones típicas en el soporte y elevación de las hojas y estructuras reproductivas, así como en la conducción de agua, minerales y azúcares; en las plantas vasculares, se deriva inicialmente del epicótilo del embrión y crece generalmente hacia arriba. Simpson (2019).
Fig 9: Comparación entre diferentes tipos de estelas. Nabors (2006).
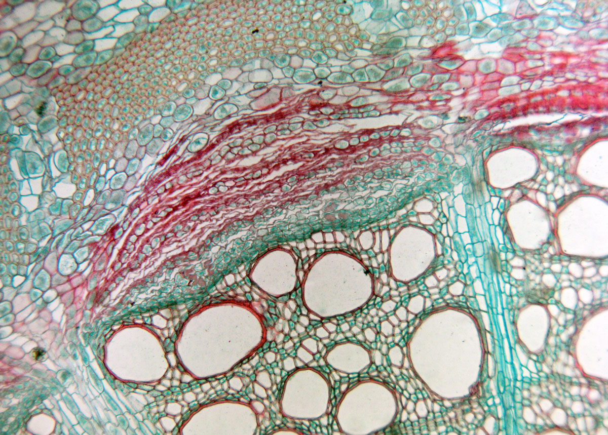
Fig 14: Tallo con crecimiento secundario de la vid (Vitis vinifera). Megías-Pacheco et al. (2017).
Fig 15: Desarrollo del tallo en una angiosperma leñosa. A. Etapa temprana del desarrollo primario. B. Al finalizar el crecimiento primario. C. Origen del cámbium vascular. D. Después de la formación de algo de xilema secundario y floema secundario. E. Al final del primer año de crecimiento, mostrando el efecto del crecimiento secundario. Nabors (2006).
Fig 16: Esquema de los meristemos y tejidos presentes en el crecimiento primario y secundario. Nabors (2006).
Fig 17: Crecimiento del tallo y de la raíz. Nabors (2006).
Acumulación de xilema (o floema) secundario durante una única temporada de crecimiento, siendo evidente debido a la diferencia estructural entre las últimas células de la madera de verano y las primeras células de la madera de primavera subsiguiente. Simpson (2019).
Dendrocronología: estudio científico de la anatomía de la madera para deducir detalles sobre acontecimientos pasados.
Término bajo el cual se han agrupado las conformaciones cambiales, los productos cambiales y los números cambiales que difieren de la condición “normal” más común, un cambium cilíndrico único que produce floema externamente y xilema internamente. Carlquist (2001).
Fig 24: Rama de Gossypium hirsutum (algodón mexicano). Arbo & Gonzalez (2019).
Fig 25: Algunos tallos modificados. Nabors (2006).
Cortes transversales con Safranina y Azul Alcián de tallos de Dracaena sanderiana o Cordyline fruticosa.
Haz anfivasal o perixilemático
Cortes transversales con Safranina y Azul Alcián de tallos de Polypodium spp.
Haz anficribal o perifloemático
Cortes transversales con Safranina y Azul Alcián de tallos de Cyperus papyrus y Pennisetum purpureum.
Haz colateral cerrado
Cortes transversales con Safranina y Azul Alcián de tallos de Aristolochia ringens.
Haz colateral abierto
Cortes transversales con Safranina y Azul Alcián de tallos de Cucurbita máxima.
Haz bicolateral
Cortes transversales con Safranina y Azul Alcián de tallos de Gymnospermae y Eudicotyledoneae. Observe e identifique: súber, felógeno, felodermo, parénquima, floema secundario, cambium vascular y xilema secundario, además de los tejidos primarios que puedan quedar.
Cortes transversales, radiales y tangenciales con Safranina y Azul Alcián de tallos de Gymnospermae y Eudicotyledoneae. Observe e identifique: los elementos de xilema, rayos del xilema, médula, madera de estación seca, madera de estación lluviosa y canales resiníferos.
Fig 27: Tallo con crecimiento secundario de pino (Pinus sp.). Megías-Pacheco et al. (2017).
Fig 28: Tallo de Gymnospermae. MPF, CC BY-SA 3.0, via Wikimedia Commons.
Fig 29: Crecimiento secundario anómalo en Aristolochia. Costea et al. (2025).